榆林市星元医院成功开展动脉血栓机械旋切术,为肢体缺血患者筑牢生命防线
打印
【字体:
大
中
小
】
近日,榆林市星元医院超声介入科、普外一科、麻醉与围术期医学科等多学科团队,成功实施腹腔镜联合超声引导下特殊部位肝癌精准射频消融术。该手术融合微创介入技术与多学科协作优势,为复杂肝癌患者提供了安全、精准、个性化的治疗方案,标志着榆林市星元医院在肝癌综合微创治疗领域迈上新台阶,为区域内肝癌患者带来了新的治疗希望。
疑难病例:多重挑战下的治疗困境
患者吕先生(化名)因肝硬化失代偿期、丙型病毒性肝炎、酒精性肝炎前来医院就诊,影像学检查确诊为肝右叶肝细胞癌。该病例的治疗难度堪称“多重考验”:患者肝硬化程度严重,基础健康状况差,传统外科手术风险极高;肿瘤位置特殊,紧贴膈肌,且患者呼吸配合度不佳,给手术精准操作带来极大阻碍;同时,局部麻醉无法满足消融术中的镇痛需求,常规治疗方案难以适用,患者治疗面临严峻挑战。

MDT会诊:量身定制最优方案
面对这一复杂疑难病例,医院迅速启动多学科诊疗(MDT)模式。由感染科与超声介入科牵头,联合普外一科、麻醉与围术期医学科等多位专家展开全面研讨。专家团队结合患者病情、身体条件及影像学检查结果,进行反复评估与论证,最终敲定“全麻下行腹腔镜联合超声引导肝癌射频消融术”这一最优治疗方案。该方案实现了“精准消融肿瘤”与“微创保护机体”的双重目标,既能确保彻底清除病灶,又能最大程度降低手术对患者的创伤,保障治疗安全。
精准施治:多学科护航手术成功

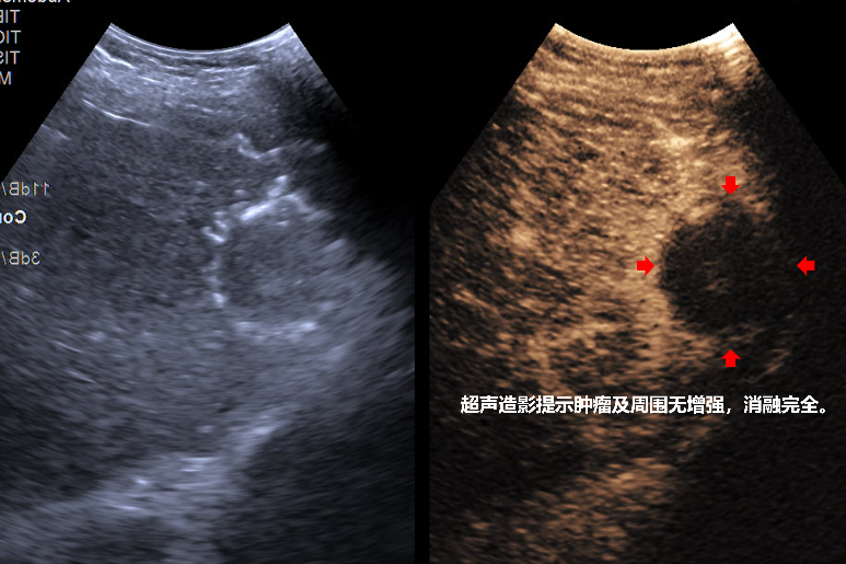
手术当日,麻醉与围术期医学科率先发力,为患者实施全身麻醉并通过呼吸机精准调控呼吸,为手术创造了稳定的操作条件。超声介入科团队在交大二附院姜珏教授的技术指导下,凭借丰富的临床经验与精准的操作技巧,在超声引导下注入人工腹水,成功将肿瘤与膈肌隔离保护,随后将消融针精准置入肿瘤周边及中心位置,通过热消融技术将肿瘤组织彻底“灭活”。消融操作完成后,普外一科团队开展腹腔镜下全面探查,对术区进行精细止血处理,确保手术无并发症风险。整个手术过程衔接紧密、安全顺利,术后患者状态良好。经术后超声造影评估,肿瘤被完整灭活,瘤周安全边界消融充分,治疗效果达到预期。

技术引领:为肝癌治疗开辟新路径

腹腔镜联合超声引导下肝癌射频消融术是目前肝癌治疗领域的前沿微创技术,对医疗团队的专业技术水平、多学科协作能力及围手术期管理质量均提出了极高要求。此次手术的成功开展,充分彰显了榆林市星元医院以患者为中心、依托多学科协作突破技术难关的综合实力,也为更多不宜接受传统手术的肝癌患者带来了更微创、更安全的选择。


未来,榆林市星元医院将持续深化多学科诊疗(MDT)模式,不断探索医疗技术创新,提升医疗服务质量,聚焦各类疑难病症的诊疗突破,为广大患者提供更优质、更精准、更微创的医疗服务,用专业与责任守护区域群众的生命健康。
专家介绍
王伟
主任医师
榆林市星元医院普外一科副主任
王伟,主任医师,普外一科副主任,担任中国医学装备协会心胸外科委员及陕西省多个医学协会委员,涵盖胃肠外科、心脏外科、肿瘤介入等领域。曾在阜外医院、唐都医院、西京医院、陕西省肿瘤医院进修,多次参加学术研修班,发表核心期刊论文数篇及SCI一篇。擅长胃癌、结直肠癌腹腔镜微创手术,胆囊结石、阑尾炎、腹股沟疝微创治疗,肺结节、甲状腺结节等肿瘤微波消融,以及肿瘤介入、心脏瓣膜置换、TAVR、腹主动脉瘤介入治疗、下腔静脉滤器置入和大隐静脉曲张微创治疗。
李娜
主治医师
榆林市星元医院超声医学科副主任
西安交通大学硕士
李娜,主治医师,西安交通大学硕士,现任超声医学科副主任、超声介入科负责人,并担任国家卫健委甲状腺微创介入建设中心负责人等职。曾于北京301医院、北京儿童医院、西安交通大学第二附属医院深造。参与两项国家级、省级课题,主持两项市级、两项院级课题,发表SCI一篇、中文核心五篇,获国家发明专利一项。多次在学术会议汇报交流,荣获中国介入性超声医师介入手术大赛一等奖、全国甲状腺微创介入大赛西北赛区小组第一等荣誉。擅长甲状腺、乳腺、肝脏疾病的超声诊断及超声引导下介入诊疗,如穿刺活检、射频消融术等。
供稿:星元医院超声介入科

扫二维码丨关注我们
了解更多医疗资讯~










扫码关注公众号