榆林市星元医院心血管病医院90分钟生命护航纪实—8天成功救治8名急性心梗患者
打印
【字体:
大
中
小
】
近日,榆林市星元医院心血管病医院上演了一场惊心动魄的“生命速递”。短短8天内,成功救治了8名急性心梗危重症患者,其中包括4位年逾八旬的高龄老人和4位正值壮年的“80后”青年。他们虽年龄悬殊、背景各异,但都在生死边缘被成功挽回。每一次与死神的较量,都是医者仁心的生动诠释;每一例成功的救治,都是团队技术与协作的完美见证。

青年并非“免死金牌”:“80后”心梗敲响健康警钟
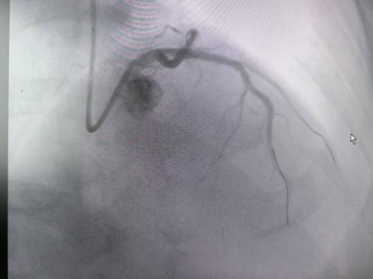
近年来,急性心梗发病呈现年轻化趋势,“80后”群体发病率逐年攀升。在过去的8天里,榆林市星元医院胸痛介入团队为4名“80后”急性心梗患者紧急开通心脏血管,挽救了4颗年轻而鲜活的心脏。其中,一名34岁男性患者突发胸痛2小时入院,心电图显示为广泛前壁ST段抬高型心肌梗死(STEMI)。医院迅速一键启动急诊胸痛绿色通道,30分钟内完成冠脉造影(CAG)及经皮冠状动脉介入治疗(PCI),成功开通右冠状动脉根部闭塞血管。术后患者胸痛即刻缓解,ST段显著回落,转危为安。

术前(冠脉开通前)

术后(冠脉开通后)
耄耋之年亦不言弃:高龄患者的生命奇迹
面对4位80岁以上高龄患者,情况更为复杂。老年人大多合并高血压、糖尿病、慢性肾功能不全等多种基础疾病,手术风险极高,救治难度极大。但榆林市星元医院胸痛介入团队没有丝毫退缩,凭借丰富的经验和精湛的技术,迅速完成精准诊断与评估,成功为这4位高龄急性心肌梗死患者开通心脏血管。其中,一位83岁高龄患者的左前降支(LAD)近段完全闭塞,团队凭借高超技术,在30分钟内成功开通冠脉血管并植入药物洗脱支架(DES),术后血流恢复至TIMI 3级,让患者重获新生。

术前(冠脉开通前)

术后(冠脉开通后)
术后,医护团队针对每位患者的具体情况,迅速启动“个体化方案”。对于青壮年患者,考虑到如长期吸烟等不良生活习惯导致的突发心梗问题;对于高龄患者,则充分考量病情的复杂性。医护人员为8位患者分别制定了详细的康复计划,涵盖抗血小板治疗、调脂、抑制心室重构、心脏康复训练及营养支持等多个方面,并提供全面的一对一健康指导,内容包括戒烟、控制体重、合理饮食、提高服药依从性及规律运动等,帮助患者改变不良生活习惯,促进心脏功能恢复,降低复发风险,提高生活质量。



“当时胸口像压了块大石头,眼前发黑……”回忆起发病时的情景,85岁的李爷爷仍心有余悸。同样被紧急送往医院救治的36岁张先生,由于连续加班,身体不堪重负突发心梗。这些病例警示着人们,急性心梗随时可能威胁生命,不分年龄与职业。

在这8场生命守护战中,离不开全体医护人员的凝心聚力、紧密协作。从急诊科的快速分诊,到介入室的高效操作,再到术后CCU监护室的精心治疗护理,每一个环节都体现了榆林市星元医院胸痛介入团队的专业水平和协作精神。他们不分年龄、不论病情,以破釜沉舟的决心和精湛高超的医术,为每一位患者全力以赴。未来,榆林市星元医院将继续砥砺前行,为广大人民群众的生命健康保驾护航。

文字/排版/校对:星元医院宣传科

扫二维码丨关注我们
了解更多医疗资讯~








扫码关注公众号